Description
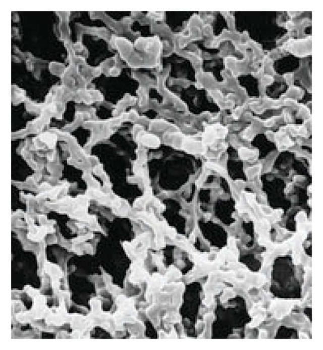
Mixed cellulose esters (MCE) membrane, hydrophilic
Biologically inert mixtures of cellulose acetate and cellulose nitrate have made MF-Millipore™ membrane filters one of the most widely used membranes in analytical and research applications.
MF-Millipore™ filters without Triton™ surfactant contain minimum amounts of wetting agent and have a lower water extractable content than standard MF-Millipore™ filters.
Features & Benefits:
- Versatile filter for biological and environmental monitoring applications
- Available in a range of pore sizes, colored black or white, with or without a gridded surface
- Compatible with ethylene oxide, gamma irradiation, and autoclave sterilization methods
Технические характеристики
| Autoclavable | Not Autoclavable |
| Pore Size | 0.45 μm |
| Flow Rate | 60 mL/min x cm2 |
| Hydrophobicity | Hydrophilic |
| No. per Case | 100Pack |
| Thickness (Metric) | 150 µm |
| Wettability | Hydrophilic |







