Description
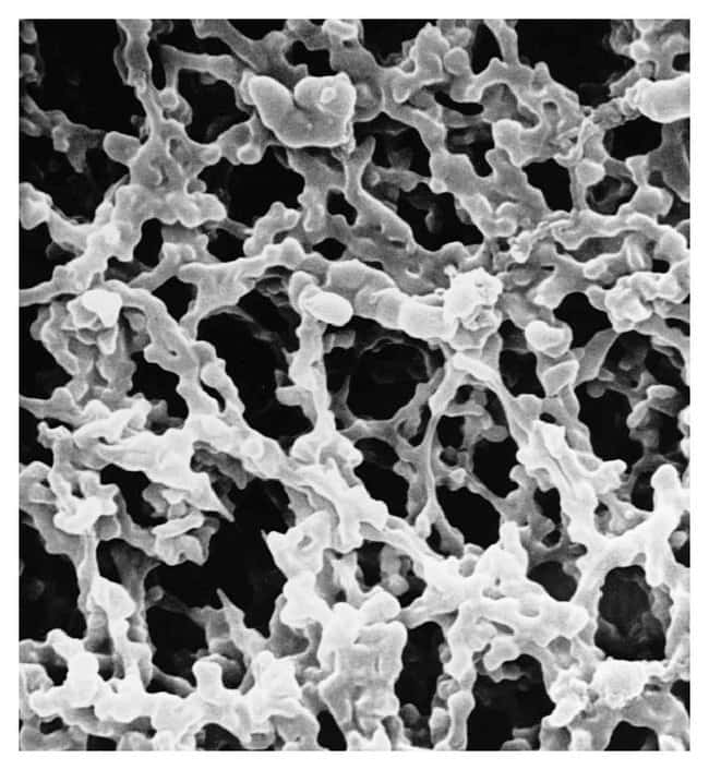
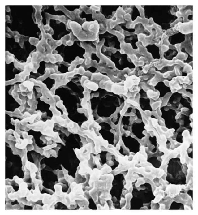
Designed for air monitoring, bioassays, dairy microbiology, particle monitoring and particle removal. MF-Millipore™ Mixed Cellulose Ester Membranes, 0.80μm pore size are available in a range of diameters. Composed of mixed cellulose membrane in black or white with a plain or gridded surface.
Biologically inert mixtures of cellulose acetate and cellulose nitrate have made MF-Millipore™ membrane filters one of the most widely used membranes in analytical and research applications.
MF-Millipore™ filters without Triton™ surfactant contain minimum amounts of wetting agent and have a lower water extractable content than standard MF-Millipore™ filters.
Features & Benefits:
- Versatile filter for biological and environmental monitoring applications
- Available in a range of pore sizes, colored black or white, with or without a gridded surface
- Compatible with ethylene oxide, gamma irradiation, and autoclave sterilization methods
Технические характеристики
| Autoclavable | Not Autoclavable |
| Material | Mixed Cellulose Esters (MCE) |
| Sterility | Non-sterile |
| Gas Flow Rate | 16 L/min/ cm2 |
| Thickness (Metric) | 150 µm |
| Wettability | Hydrophilic |






